
Los sanitarios holandeses del centro médico Zuyderland, en el sureste de Países Bajos, han publicado una carta abierta dirigida al ministro de Sanidad, Hugo de Jonge, como crítica por la paralización del uso de las vacunas contra la pandemia de la covid-19.
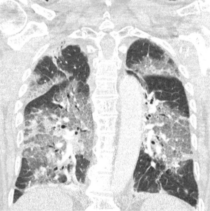
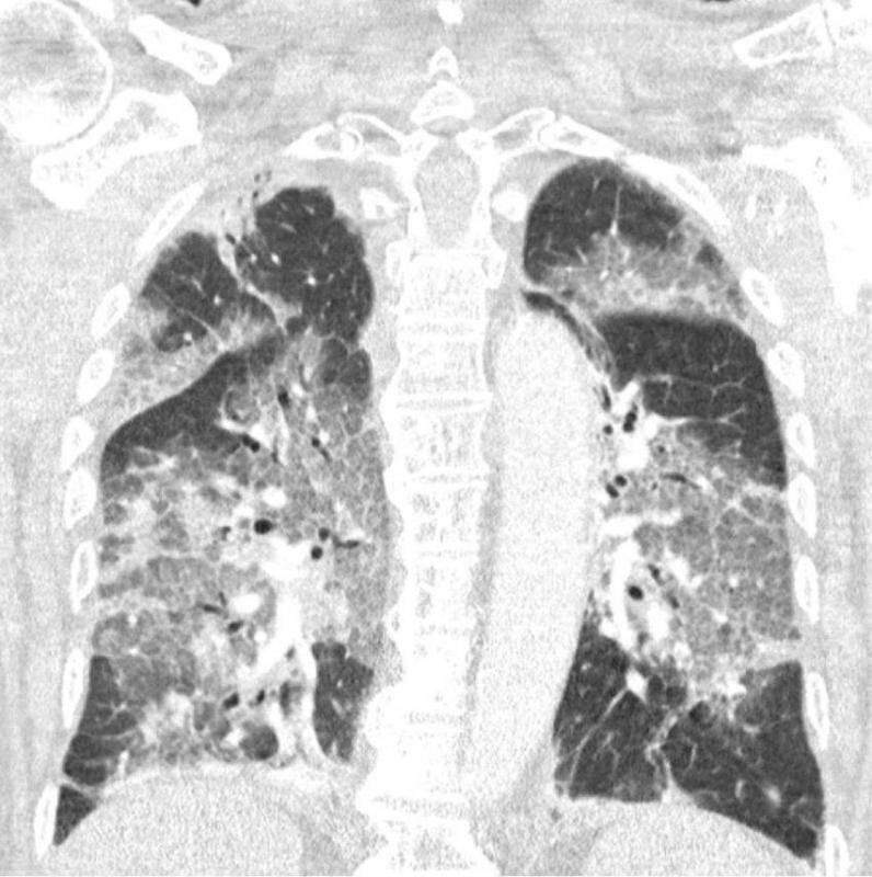
En la carta relatan el ingreso en la UCI de un paciente que se ha negado a recibir la vacuna de AstraZeneca. Comentan con detalle como lucha por su vida, conectado a la respiración asistida: "Oímos el tremendo pesar en su voz y la desesperación en sus ojos. El virus lo ha atacado y podría haberse evitado. Con su permiso, compartimos su escáner de pulmón. No es necesario ser un especialista en pulmones para reconocer la devastación, ni epidemiólogo para explicar los riesgos de no estar vacunado".
Los firmantes recuerdan los datos del "riesgo de daño grave causado por la covid-19, que es 10 veces mayor para las personas de 40 años y 70 veces mayor para las de 60 años". Sin embargo, sostienen que "el verdadero riesgo de daño grave por trombosis es la no utilización de la vacuna".
Esta queja se produce en un momento en el que Holanda ha almacenado unas 80.000 dosis de la vacuna de Janssen a la espera de decisión sobres su aplicación de la Agencia Europea del Medicamento (EMA), y tras la decisión de utilizar la vacuna de AstraZeneca solo en personas mayores de 60 años.
Los médicos de este centro holandés explican que ellos ven "a diario las tremendas consecuencias de esta enfermedad" y reclaman al ministro "dejar de retrasar la vacunación y provocar inquietud porque las cifras muestran que los beneficios de la vacunación masiva son abrumadores y no mienten".
Reclaman que "la gente elija si quiere evitar una situación como la de nuestro paciente, poner a su disposición cualquier vacuna" e incluso se atreven a advertir de que pueden utilizar sin permiso las vacunas que tienen en sus instalaciones para evitar cualquier "daño evitable" en los ciudadanos mientras las vacunas esperan en el refrigerador.
