Naves de Virgin Galactic | Twitter de la compañía
Según los primeros estudios
Investigan la misteriosa superviviencia del piloto. Hay 800 reservas para viajes galácticos.
Rinoceronte blanco | Flickr/CC/Wilson Severino
Intimidades animales
Quo
La contaminación sonora de la vida urbana afecta a la reproducción de los ejemplares en cautividad.
Rana Leopardo, muy similar a la nueva especie encontrada en Nueva York | Flickr cc Ereenegee
Kraufeldi
Distinguida por un croar muy especial, y por no haber sido descubierta hasta ahora, la rana Kraufeldi ha sido encontrada en Nueva York.
Para solucionar las quejas
1
comentario La gente se queja de la falta de sabor de la cerveza sin, pero hay aromas de los que carece que se pueden transferir desde la cerveza con alcohol.
Murió el piloto
1
comentario La investigación apunta a un fallo en el sistema de reentrada de la nave, destinada a los turistas espaciales.
La momia de Ötzi tiene 5.000 años, pero estaba tan bien conservada que aún poseía glóbulos rojos. | Corbis
Cuerpos conservados hasta 5.000 años
Quo
La propia naturaleza se encarga en determinadas condiciones de conservar los cadáveres incorruptos hasta extremos asombrosos.
Muere uno de los pilotos
La nave de la empresa de Richard Branson se estrelló durante un vuelo de prueba en el desierto de Mojave.
La luz fantasma captada por Hubble | NASA/ESA/IAC/HFF Team, STScI
De galaxias desaparecidas
4
comentarios El telescopio ha sido capaz de captar una luz extremadamente débil, procedente de decenas de miles de estrellas vagabundas.
Una de las piezas encontradas | Efe
En una excavación clandestina
8
comentarios Entre las piezas encontradas, que datan del Imperio Nuevo (1539-1075 a. C.), figuran bloques de piedra con inscripciones jeroglíficas.
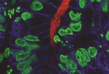
Inmunofluorescencia del tejido gástrico, con la presencia de Pdx1 (verde), H. pylori (rojo) y E-cadherina (azul) | McCracken
Científicos de EEUU
La ciencia cuenta ya con una valiosa herramienta para investigar cómo se desarrollan las enfermedades relacionadas con el tracto digestivo.
Foto Corbis.
El debate llega hasta hoy
8
comentarios La controversia llegó a la Corte Suprema de Estados Unidos en el siglo XIX.
Para la Estación Espacial Internacional
13
comentarios Esta era la cuarta misión de Cygnus, incluyendo el vuelo de prueba que hizo en 2013, y el primer lanzamiento nocturno del cohete Antares.
Green momit gana la SmartCamp de IBM
2
comentarios La firma tiene un termostato con sensores, algoritmos y wifi que se puede controlar desde el móvil y ahorra hasta un 30% en la factura energética.
Combate amistoso de los yanomami en una imagen de 1960 | Napoleon Chagnon
Alianzas con sus cuñados
5
comentarios Antropólogos de EEUU han aportado nuevos datos sobre las sociedades pequeñas a partir del pueblo yanomami, del sur de Venezuela y norte de Brasil.
Relación entre genética y violencia
2
comentarios Según un estudio sueco sobre 895 fineses condenados por crímenes violentos, hay variaciones genéticas relacionadas con la absorción de dopamina.