
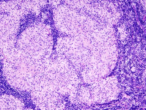
Existen algunas enfermedades que requieren mucha atención en su estudio y diagnóstico desde el punto de vista profesional. Una de ellas es la Sarcoidosis, enfermedad multisistémica cuya etiología desconocemos. Lo que se sabe hasta ahora es que presenta un aumento considerable de linfocitos T (los que regulan el Sistema Inmunológico) y también un aumento de los fagocitos mononucleares que tienen la misión de fagocitar aquellas sustancias inertes que se encuentran en el organismo.
Se trata de una enfermedad multisistémica porque afecta a distintos órganos de nuestro cuerpo. Nos referimos al pulmón, los ojos, al piel, los ganglios mediastinicos, el hígado, los ganglios periféricos, etc.
La Sarcoidosis se presenta en edades comprendidas entre los 20 y los 40 años y es más frecuente en mujeres jóvenes que en hombres. Al estar afectados varios sistemas de nuestro organismo, su estudio y diagnóstico debe hacerse en un hospital y se obtiene mediante imagen, pruebas de laboratorio, biopsia, etc.
En cuanto a la sintomatología, lo más habitual es que ésta se presente en el órgano afectado. Así, podemos observar tos seca, si afecta a los órganos respiratorios, pérdida de apetito o adelgazamiento así como problemas cardiorespiratorios, en la piel o en los ojos.
Finalmente, el tratamiento consiste en administrar Glucocorticoides y fármacos adecuados según el órgano afectado. Su pronóstico es bueno siempre que se sigan los consejos del medico.
